
발목 골절로 수술을 받고 입원해 계신 환자 분들이
가장 많이 물어보시는 질문들이 있습니다.
“언제부터 걸어도 되나요?”
“재활은 꼭 해야 하나요?”
“뛰는 건 언제쯤 가능할까요?”
수술은 잘 끝났다고 들었지만,
그 이후의 회복 과정이 더 걱정돼
이런 질문을 하시는 분들도 많습니다.
특히 발목 골절 수술은 젊은 연령에서도 많이 시행되기 때문에,
빠른 시일 내에 일상생활이나 운동으로 복귀하고 싶어 하는 경우가 많습니다.
오늘은 발목 골절 수술 후 재활이 왜 중요한지,
재활은 어떻게 진행되는지, 그리고 언제부터 달리기가 가능한지에 대해
많이 궁금해하시는 내용을 정리해 보겠습니다.
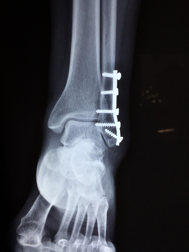
발목 골절 수술 후, 재활이 중요한 이유
발목 골절 수술은 부러진 뼈를 금속판이나 나사로
정확한 위치에 고정해 주는 치료입니다.
하지만 오해하시면 안 되는 점은, 수술이 끝났다고 해서
발목이 바로 정상 상태로 돌아가는 것은 아니라는 점입니다.
수술을 통해 부러진 뼈를 이어주기는 했지만, 실제로 뼈는 아직 완전히 붙지 않은 상태이며
시간을 두고 골유합이 진행됩니다.
또한 그동안 깁스나 보호대를 착용하고 체중 부하를 제한하게 되면서
발목 주변 근육과 관절은 자연스럽게 약해지고 굳게 됩니다.
이런 상태에서 아무 준비 없이 활동량을 갑자기 늘리게 되면
통증이 오래 지속되거나 회복이 늦어지는 경우도 적지 않습니다.
그래서 발목 골절 수술 후에는 뼈가 붙는 과정과
관절 기능과 근력을 회복하는 과정을
함께 고려한 재활이 매우 중요합니다.
발목 골절 수술 후 재활 과정은 어떻게 되나요?
골유합 속도와 회복 과정에는 개인차가 있지만,
일반적으로는 다음과 같은 과정을 거치게 됩니다.
수술 후 초기(약 1~2주)에는 깁스나 보호대를 착용한 상태로
목발을 사용하며 체중 부하를 제한합니다.
이 시기에는 상처 관리와 통증 조절이 가장 중요합니다.
이후 X-ray를 통해 뼈 상태를 확인하면서 의료진 판단에 따라
부분적으로 체중을 싣는 연습을 시작하게 됩니다.
이와 함께 발목이 굳지 않도록 가벼운 관절 운동을 병행합니다.
시간이 지나 골유합이 안정적으로 확인되면
보호대를 착용한 상태에서 보행 연습, 근력 운동,
균형 감각을 회복하기 위한 재활을 단계적으로 진행합니다.
이 시기에는 걷는 것은 가능해지지만,
아직 발목이 완전히 정상처럼 느껴지지는 않는 경우가 많습니다.
세라 밴드를 이용한 발목 운동과 균형 재활
발목 골절 수술 후 재활에서는 단순히 걷는 연습뿐만 아니라
발목 주변 근육을 강화하고 균형 감각을 회복하는 운동이 중요합니다.
세라밴드를 이용한 발목 저항 운동은 발목의 굽힘, 펴짐, 안쪽·바깥쪽 움직임을
안전하게 강화하는 데 도움이 됩니다.
또한 한 발로 서기, 밸런스 패드 위에서 균형 잡기와 같은 균형 재활 운동은
발목 관절의 안정성을 회복하고 다시 다치는 위험을 줄이는 데 중요한 역할을 합니다.
이러한 운동들은 반드시 통증이 심하지 않은 범위에서
의료진의 안내에 따라 진행하는 것이 좋습니다.

그럼, 언제부터 뛸 수 있을까요?
이 질문이 가장 많습니다.
결론부터 말씀드리면,
뛰는 시점은 생각보다 늦습니다.
보통 가벼운 조깅은 수술 후 약 3~4개월 이후,
방향 전환이나 점프가 필요한 달리기나 스포츠 활동은
4~6개월 이후를 기준으로 생각합니다.
다만 단순히 시간이 지났다고 해서 무조건 뛰어도 되는 것은 아닙니다.
- 보행 시 통증이 거의 없고
- 발목 관절의 움직임이 충분히 회복되었으며
- 근력과 균형 감각이 어느 정도 돌아왔고
- X-ray or CT상 골유합이 안정적으로 확인된 경우
이러한 조건들이 충족되어야 안전하게 달리기를 시작할 수 있습니다.
진료실에서 꼭 드리고 싶은 조언
발목 골절 수술 후 재활에서 가장 중요한 것은 인내와 꾸준함입니다.
뼈가 완전히 붙는 데에도 시간이 필요하고, 발목의 근력과 관절 기능이 회복되는 데에는
보통 4개월 이상의 시간이 걸립니다.
통증이 남아 있다는 이유로 재활을 중단하거나 발목을 계속 아끼기만 하면
회복 속도는 오히려 더 늦어질 수 있습니다.
무리한 운동은 피하되, 의료진과 상의하여
통증이 허용되는 범위 내에서 수동 관절 운동과 부분 체중 부하부터
점진적으로 재활을 이어가는 것이 중요합니다.
정형외과 의사의 역할은 부러진 뼈가 잘 붙도록 도와주는 데까지이며,
그 이후 발목의 기능과 근력을 되찾는 과정은 환자분의 꾸준한 재활 참여가 가장 큰 영향을 미칩니다.
조급해하지 말고 단계별로 회복해 나가는 것이
결과적으로 가장 빠르고 안전한 복귀로 이어집니다.
참고 및 면책 문구
본 글은 일반적인 의학 정보 제공을 목적으로 하며,
개인의 정확한 진단이나 치료 계획을 대신할 수 없습니다.
회복 과정과 운동 복귀 시점은
반드시 담당 의료진과 상의하시기 바랍니다.
본 글은 발목 골절 수술 후 재활에 대한
일반적인 의학 정보를 바탕으로,
환자 분들이 이해하기 쉽게 설명하기 위해 작성되었습니다.
본 글의 내용은 무단 복제 및 재배포를 금합니다.
모든 콘텐츠의 저작권은 작성자에게 있습니다.